Introduction
Ring nematode (Mesocriconema spp. (Raksi)) is a migratory ectoparasite and a minor pest of several crops that does not always produce visible symptoms of damage (Dickson 1985; Minton 1997). Peanut is a conducive host for peanut ring nematode and can increase reproduction of M. ornatum up to 970-fold (Barker et al. 1982). The damage threshold of ring nematode in peanut has been reported as more than 40-50 ring nematodes/100 cc of soil (Dickerson et al. 2000; Mehl and Langston 2024). In some cases, ring nematode has been reported to affect the yield and quality of peanut. Barker et al. (1982) found that as few as 35 ring nematodes/100 cc soil stunted peanuts, and their introduction in greenhouse soil caused peanut yellow disease.
Symptoms caused by M. ornatum include chlorosis, necrotic lesions on pods, pegs, and roots, apical galling in roots, and reduced pod weight (Machmer 1953; Minton and Bell 1969; Sharma et al. 1994). Compared to other migratory ectoparasites, M. ornatum barely moves from its feeding site. After injecting its long stylet through the epidermis into live cortical cells, it establishes a feeding site and modifies it into a feeding cell (Talton and Crow 2022). There is a paucity of reports on the quantitative damage directly caused by ring nematode on peanut, but it has been reported to facilitate secondary infections in many crops including peanut (Diomande and Beute 1981; Minton 1997; Lagogianni and Tsitsigiannis 2018), which can exacerbate losses in yield and quality.
Lesion nematode (Pratylynchus brachyurus) is another widely found nematode that can affect peanut. It is considered a migratory endoparasite and moderately damaging pathogen in peanut (Grabau and Dickson 2024). Feeding by P. brachyurus produces characteristic necrotic lesions on peanut shells, and it can also cause pod and peg rot and predispose the peanut to other pathogens (Davis and MacGuidwin 2000). The reported damage threshold for lesion nematodes in peanut ranges from 20-25 lesion nematodes per 100 cc of soil (Dickerson et al. 2000; Mehl and Langston 2024).
Aspergillus flavus and A. parasiticus are ubiquitous opportunistic fungi found in soil and crop debris (Gourama and Bullerman 1995). These fungi can readily colonize many plant species, including peanut, corn, and tree nuts. Peanut pods infected with Aspergillus spp. may exhibit yellow-green sporulation in areas damaged by insects or nematodes. However, substantial feeding and aflatoxin production can occur without visible sporulation. Aspergillus flavus can infect and produce aflatoxin in a standing crop facilitated by insect damage and nematode feeding or heat (e.g., soil temperature > 35 C) and drought stress (45 to 75 days before harvest) combined with high moisture, which can result in a high inoculum load before harvest or during storage (Pettit et al. 1971; Wilson and Stansell 1983; Sanders et al. 1984; Atehnkeng et al. 2008; Arunyanark et al. 2009; Jaime-Garcia and Cotty 2004; Timper et al. 2013).
Aflatoxin is the most problematic mycotoxin for global health and economy (Coulibaly et al. 2008). The common term aflatoxin refers to four naturally occurring metabolites of A. flavus group, namely B1, B2, G1, and G2, which are the most toxic and carcinogenic metabolites found in peanut (Timper et al. 2013; Yao et al. 2024). The USDA and European Union (EU) have established maximum acceptable limits for food for human consumption of 20 ppb and < 5 ppb, respectively. This low threshold has resulted in trade restrictions with European countries (Wild 2007; Yao et al. 2024). Even the slightest visible presence of Aspergillus group fungi can lead to the rejection of entire seed lots. Rejected lots are often reprocessed to reduce aflatoxin concentrations or used for oil (Timper et al. 2013), which reduces economic value. Managing aflatoxin has become a significant challenge to the peanut industry since cooking, drying, sterilization and pasteurization do not reduce aflatoxin concentration (aflatoxin decomposes at 237 to 306 C). Some chemical processes (e.g., treating with ammonia, methylamine, hydroxides and bicarbonates, and alkaline cooking and steeping) can reduce aflatoxin concentration by 84 to 95% but are associated with a high risk of negating the nutritional value of peanut (Saalia and Phillips 2011; Pandey et al. 2019;).
Higher levels of colonization by A. flavus alone does not guarantee the presence of elevated aflatoxin concentrations. Aflatoxin has been reported to be negatively correlated with soil moisture when compared between dryland and irrigated peanut fields, with dryland having 716× more aflatoxin than irrigated plots (Pettit et al. 1971). Aflatoxin production can be managed by irrigating (when available) 40 days before harvest (Wilson and Stansell 1983) or through cooling the soil (using epoxy-coated copper-cooling coils) where pod development occurs (Sanders et al. 1984), although the latter of these is not currently practical on a commercial scale. Drought-stress in peanut has also been associated with reduced phytoalexin production, a defense mechanism against fungal colonization and development (Wotton and Strange 1987; Cotty and Jaime-Garcia 2007). The production of aflatoxin by A. flavus is dependent on substrate, moisture, temperature, pH, aeration, competing microflora, wound or abrasion (mechanical or biological), varietal resistance to colonization, seed maturity level, harvest time, picking method, and duration of storage (Mixon and Rogers 1975; Gourama and Bullerman 1995).
Plant parasitic nematodes are infamous for their role in important disease complexes and synergism with other microbes to worsen symptoms and yield losses (Cooper and Brodie 1963; Bosswell 1968; Fassuliotis and Rao 1969; Clayton and Ritchie 1981; Diomande and Beute 1981; Atkinson 1982; Minton 1997; Wagner et al. 2022). However, they have not been studied for their ability to contribute to aflatoxin contamination in peanut except for root-knot nematode which is known to predispose peanut to A. flavus and aflatoxin contamination (Timper et al. 2013). The ability of ring nematode to enhance other disease symptoms (e.g., Cylindrocladium black rot) in peanut has previously been reported (Diomande and Beaute 1981). However, its ability to predispose peanut to infection by A. flavus and subsequent aflatoxin contamination has not been studied thoroughly in part because of ring nematode’s minimal reported direct effect on peanut yield and quality (Dickson 1985). The relatively high density of ring nematodes compared to other nematodes in peanut fields raised questions as to a possible meaningful relationship with increased aflatoxin contamination. Since the southeastern United States is continuously at some risk of high aflatoxin production due to excessive heat and occasional late season drought (Butts et al. 2023), our main objective of the present work was to examine the effect of pesticides on peanut ring nematode populations as well as their potential in the soil to be positively associated with aflatoxin contamination of peanut kernels.
Materials and methods
Field Experiment
Two experiments were set up in each of 2022 and 2023 at Clemson University’s Edisto Research and Education Center near Blackville, SC to examine the effect of different pesticides on nematode populations as well as their relationship with aflatoxin contamination. Soil type was a Barnwell loamy sand (fine loamy, kaolinitic, thermic Typic Kanhapludults). The fields designated IRR22, RAIN22 (2022 crop year), IRR23, and RAIN23 (2023 crop year) were respectively planted to trials consisting of eleven, twelve, seventeen and seven different chemical treatment combinations and timings, including a nontreated control (NTC). Plot size was four rows (3.9 m) on 96-cm centers by 12.2-m long. Experimental design was a randomized complete block. Irrigated fields consisted of IRR22 and IRR23, whereas RAIN22 and RAIN23 were rainfed. Treatments ( Supplementary Table 1) were replicated five times and consisted of different compounds labeled for managing thrips, mites, plant parasitic nematodes, or fungal pathogens. Compounds were applied 7 days before planting, in-furrow at planting, 12-14 days after planting, 21 days after planting, 45 days after planting, or 60 days after planting. Peanut production practices followed SC Extension recommendations (Anco et al. 2024) with similar management practices in all fields except for the applied treatments. Pre-plant ring nematode counts for IRR22, RAIN22, IRR23, and RAIN23 were 0, 150, 0-10, and 0-40 per 100 cc soil, respectively.
Soil Sampling
Soil samples for nematode extraction were collected at three different growth stages of peanut: near initiation of pegging (45 to 50 days after planting (DAP)), during active pod development period (80 to 90 DAP, 2023 only), and at harvest (130 to 140 DAP). Five 2.54-cm diam. soil cores approximately 20 cm deep were taken from the center two rows of each plot, homogenized, and refrigerated until nematode extraction from a subsample of 100 cc soil. While looking for ring nematodes in soil, peanut pods and roots, large number of lesion nematodes were discovered. This observation prompted their subsequent incorporation in data collection and analysis. Ring nematodes and lesion nematodes from soil were extracted using modified Cobb’s sieving and sugar centrifugal method (Jenkins 1964; Shurtleff and Averee II 2000; Giri et al. 2024). Nematodes were quantified using dilution via an inverted microscope at 40× magnification. Representative ring nematode samples were identified to species level using DNA sequencing on the ribosomal gene 18S, ITS and 28S D2/D3 (Ye et al. 2019; Giri et al. 2024).
Harvest and Sample Collection
Peanuts were inverted at approximately 135 to 140 DAP and left for 10 to 13 days in the field to cure prior to being harvested with a 2-row Hobbs combine fitted with load cells. Samples (each ~1 kg) were taken from two middle rows and stored in an air conditioned storage room (22 C) until processing for aflatoxin detection. A VICAM fluorometer (Series-4EX, VICAM, Milford MA, USA), using Aflatest columns (product no. G1010, VICAM, Milford MA, USA), was calibrated according to the provided standard (i.e., procedure for corn, raw peanuts and peanut butter for the range of 0 to 50 ng/g, limit of detection = 1 ng/g), with aflatoxin measurements made according to the manufacturer’s instructions using a peanut kernel sample size of 25 g per plot. Blanks corresponding to two ml of reagent (one ml developer and one ml pure methanol) were verified to measure 0 ppb. Corresponding roots and pods were collected for lesion nematode quantification. Lesion nematodes were extracted using a modified mist apparatus. Approximately 25 grams of roots were placed in a mist chamber for 4 days. Nematodes were quantified as previously described.
Lesion Nematode Extraction from Peanut Roots and Pods
Ten random pods were washed with water to remove soil. Each pod was then rated for surface lesions using a scale of 0 to 5 for percentage of the pod surface covered by lesions where 0 = 0, 1 = 0-20, 2 = 20-40, 3 = 40-60, 4 = 60-80, and 5 = 80-100% of the pod surface covered by lesions. After rating, pods were placed in 76.8 mm plastic pots with holes in the bottom. Holes were covered with cotton mesh to hold in roots but allow nematodes to crawl out. Long stem funnels were set up to drain into 75 ml test tubes to collect the nematodes. Nozzles were hooked to a timer to continuously cycle 15 seconds of mist on, 2 min of mist off. After four days, the pods were taken out of the mist chamber and dried for three days in an oven to obtain dry weight. The glass tubes were taken out and water was carefully removed from the top leaving 10 ml of water containing nematodes. This was then transferred to glass vials. A one ml subsample was used to count nematodes (Giri et al. 2024). Roots were similarly washed and cut into pieces 2 to 3 cm long and placed in mini pots. The remaining steps were repeated as described for pod extraction. Roots were not rated for lesions.
Greenhouse Experiment
To complement results from field experiments, two greenhouse experiments were conducted in two different years to examine responses under controlled conditions. The peanut plants were maintained in a greenhouse at approximately 28/20 C day/night without supplemental lighting. They were watered alternate days to soil saturation from planting until drought induction. The experimental design was a completely randomized 2 × 2 factorial with four treatments: ring nematode alone, Aspergillus alone, ring nematode plus Aspergillus, and a negative water-only control. Treatments were replicated three times in 2023, and the whole experiment was repeated in 2024 where treatments were replicated five times. Two peanut seeds of cultivar Comrade (Chamberlin et al. 2022) were directly seeded in 3.8-l circular pots (12 × 17.5 cm: height × bottom diameter) filled with professional Growers Mix potting soil (Baccto premium potting soil, Barnwell, SC, USA). Inoculant was applied at planting per the label. Pots were thinned to a single healthy plant per pot 20 days after seeding. Plants were grown until maturity and harvested 140 days after planting. Treatments were conducted as detailed in the following sections.
Inoculum Preparation
Soil was collected from infested (> 400 ring nematodes/100 cc) field plots from peanut trials established at the Edisto Research and Education Center. Ring nematodes were extracted using the centrifugal flotation method previously described. Extracted samples had a relatively pure population of ring nematodes. Other nematodes present in some samples were removed with 20 µl pipette tips under the microscope. Samples with ring nematodes were counted using counting slides, and the volume of inoculum was calculated according to the density of ring nematodes present in that sample. The species of ring nematode was determined to be Mesocriconema ornatum from PCR and DNA sequencing (Giri et al. 2024).
An aflatoxin-producing strain, NRRL 3357 (Dr. Sachin Rustgi, Pee Dee Research and Education Center, Clemson University), was utilized. Seven to ten days before the inoculation, a small mycelial plug of A. flavus was grown on PDA in a Percival growth chamber. To prepare spore suspensions, 15 ml of sterile distilled water was gently poured into the plate; the fungal colony was then scraped using a sterile microscope slide and poured through sterile cheesecloth placed over a clean cup. The spore solution was then serially diluted by a factor of 103 to allow concentration quantification with a hemocytometer. The original solution was then diluted to obtain a final concentration of 1×106 spores/ml. Spore suspension preparation was similar to the method used by Fan and Chen (1999).
In-Tube Growth of Pods and Inoculation
The in-tube growth system for individual pods developed by Peper et al. (2022) was used with slight modifications to facilitate the application of both ring nematode and Aspergillus treatments, as well as their interaction. Fifty-ml conical tubes were used to allow development of individual pods. For better air circulation, the lid had five 6-mm holes and was lined with 0.5-mm gridded mesh on the lid’s interior side. Three layers of 3M micropore tape were placed over perforated lids. A 0.5-mm hole was added at the bottom of the tube for water circulation and peg insertion. Tubes were filled with autoclaved sandy soil (> 90% sand) up to 4/5th of the tube. Fifty ml of sterilized distilled water was passed through the soil in the tube. After pegs on peanut plants in the greenhouse elongated to about 2.5 cm, they were inserted into the tube. Approximately ten pegs per plant were inserted into tubes (i.e., one peg/tube). After peg insertion, the entry point of the peg was sealed with Parafilm. The whole tube was covered with aluminum foil to block sunlight and provide a geotropic effect. For the Aspergillus alone treatment, 10 ml of a suspension of 1×106 spores/ml A. flavus was inoculated one month after peg insertion. In the case of ring nematode alone, 15 days following peg insertion, thirty-five ring nematodes/tube were inoculated twice, one month apart, using a pipette near the pod-developing region. In the treatment with both pathogens, 10 to 15 days after ring nematode inoculation, 10 ml of a suspension of 1×106 spores/ml Aspergillus was inoculated. For the negative control, 10 ml of sterile water was added one month after peg insertion.
Induction of Drought Stress and Aflatoxin Detection
Drought stress was induced to encourage aflatoxin production. To do this, irrigation was stopped three weeks before harvest, watering only when the plant looked severely wilted (Figure 1). Harvested pods were washed and forced air dried for three days. Aflatoxin measurement was conducted as previously described. Due to fewer total available pods in the greenhouse, the aflatoxin procedure was modified based on 15-g peanut kernel samples for each treatment replication.
Confirmation of aflatoxin production by field isolates was done by inoculating Aspergillus on peanut kernels and by gene confirmation via PCR. Cleaned and dried peanut kernels for use in the inoculation assay were surface sterilized with 0.755 % sodium hypochlorite solution for four minutes and washed four times with sterile distilled water. The kernels were then immediately soaked in 106 spores/ml and placed in a petri plate with sterile filter paper. The plates were sealed with Parafilm and incubated at 26 C, 99% RH. After 16 days, kernels were taken out, and aflatoxin concentration was quantified. The fluorometer was calibrated according to the calibration standard provided to detect aflatoxin within the range of 0 to 500 ppb. All of the samples had aflatoxin levels above 500 ppb, therefore, samples were serially diluted 104 times to allow accurate measurements.
Data Analysis
Data were analyzed using R 4.3.3 (R Core Team 2023). Model fitting of field data was conducted using glmmTMB (Brooks et al. 2017) with a gamma distribution. Aflatoxin concentrations below the limit of detection, 1 ppb, were set to zero (i.e., 0.001). Mean separations were conducted using emmeans according to the method of Benjamini-Hochberg (i.e., false discovery rate) (Benjamini and Hochberg 1995) at alpha = 0.1. Treatments were considered fixed effects and blocks (replications) were incorporated as random effects in the case of individual field analysis. For the analysis of the pooled field data, experiment (field-year), experiment × replication, and treatment × experiment were included as random effects. The greenhouse data analysis followed a similar pattern, except the interaction between treatment and test was designated as a fixed effect and the block random effect term was excluded (i.e., due to the completely randomized experimental design). Correlations of variables were examined using Spearman correlation coefficient with the cor function, with corresponding P values obtained using the cor_pmat function.
Results
In field IRR22 at pegging, populations of ring nematode/100 cc soil in the NTC were not different from any treatment. Imidacloprid (IF) with or without fluopyram (IF) followed by fluopyram plus prothioconazole (45D) had the lowest mean ring nematodes at pegging which was lower than that of phorate plus imidacloprid (IF) or phorate plus fluopyram (IF) (Table 1). Although populations of ring nematodes at harvest were not significantly different among treatments, the NTC numerically had the greatest number of ring nematodes. None of the treatments had significantly greater yield than the NTC. Yield associated with fluopyram plus imidacloprid (IF) was lowest among examined treatments and was significantly lower than phorate (IF) followed by acephate (E). All treatments had aflatoxin production below the FDA’s limit, and no treatment had lower detectable aflatoxin compared to the NTC. The greatest aflatoxin was associated with phorate only, phorate plus imidacloprid, oxamyl 2.5 or 5, and fluopyram plus imidacloprid (IF) followed by fluopyram plus prothioconazole (45D) treatments (0.4 to 2.4 ng/g) (Table 1).
There were no significant differences in recovery of ring nematodes from soil at pegging or harvest from field RAIN22 (Table 2). While being among the highest yielding treatments, phorate only (IF) was associated with a greater concentration of aflatoxin compared to the NTC. Variability precluded further treatment differences in aflatoxin concentration.
In field IRR23 at pegging, ring nematode numbers were significantly lower in acephate treated plots than the NTC, whereas all other treatments were not different compared to the NTC (Table 3). There were no significant differences among the seventeen treatments with respect to ring nematode numbers at 80 DAP or at harvest or with respect to pod yield (Table 3). Aflatoxin levels from IRR23 were below the limit of detection (1 ng/g) for all but two plots. Accordingly, mean separations were not conducted; treatment aflatoxin raw means are instead presented in Table 3. Despite the insignificant differences in ring nematode numbers among treatments, ring nematode numbers at the three different sampling times were significantly different from each other (P = 0.005).
On pods from IRR23, the maximum lesion rating, 3.4 (68%) was found on the NTC, and the aldicarb (IF) treatment had a significantly lower proportion area with lesions (54%) (Supplementary Table 2). Greater lesion nematode populations were associated with pod samples (3/pod) than with root (1/g) or soil (0/100 cc) samples (i.e., on a sample reporting basis). A negative relationship was observed between ring nematodes in the soil at the time of pegging and lesion nematodes in root samples (ρ = -0.33, P = 0.001). Similarly, ring nematodes at harvest were negatively correlated with lesion nematodes extracted from all mediums as shown in Table 4, among which this relationship was strongest for lesion nematodes in pods (ρ = -0.38). Lesion area positively corresponded to the aflatoxin concentration (ρ = 0.23, Table 4).
Spearman correlation coefficients (ρ) between ring nematode at the time of pegging (Ring_peg), 80 days after planting (Ring_80) or at harvest (Ring_H), lesion nematodes per g root (Lesionr/g) or pod (Lesion/pod), percentage of lesion in shells (lesion rate), aflatoxin contamination (ng/g) and yield (kg/ha) in field IRR23 in 2023.
Treatments were not significantly different with respect to ring nematode numbers at pegging (means ranging from 10-42 nematodes/100 cc soil), at 80 days after planting (means ranging from 54-132 nematodes/100 cc soil), at harvest (means ranging from 23-43 nematodes/100 cc soil), pod yield (mean ranging from 3345-3875 kg/ha), or aflatoxin (8.2 to 20.1 ppb) in RAIN23. The overall mean density of ring nematodes in the same experiment was greatest (85 nematodes/100 cc soil) during the active pod development period (80 DAP), which subsequently decreased near harvest (Figure 2 (ii)). The only treatment with a lower lesion nematode pod damage rating or quantity of lesion nematodes per root or pod samples compared to those of the NTC was 1,3 dichloropropene (P) followed by fluopyram plus prothioconazole (45D, 60D) (Supplementary Table 3).
Ring nematode densities/100 cc soil were not associated with decreased pod yield among RAIN23 samples; instead, during pegging, they were slightly positively correlated with yield (ρ = 0.3, P = 0.03) (Table 5). Similar to the IRR23 results, a negative relationship (ρ = -0.33, P = 0.03) was apparent between ring nematodes/100 cc soil at the time of harvest and lesion nematodes extracted from root samples from the same plots. Conversely, ring nematode populations were not significantly correlated to pod lesions in either RAIN23 or IRR23. A significant mild correlation (ρ = 0.43, P = 0.005) was, however, evident between the lesion nematode numbers in the pod and lesions present on the pod. Neither ring nor lesion nematode populations were positively associated with aflatoxin contamination among RAIN23 samples (Table 5).
Spearman correlation coefficients (ρ) between ring nematode at pegging (Ring_peg), 80 days after planting (Ring_80) or at harvest (Ring_H), lesion nematodes per g root (Lesionr/g) or pod (Lesion/pod), percentage of lesion in shells (lesion_rate), aflatoxin contamination (ng/g) and yield (kg/ha) in field RAIN23 in 2023.
From the pooled data across four fields in two years, ring nematode densities/100 cc soil at pegging and harvest were not associated with reduced yield. Rather, a mild positive correlation was apparent between ring nematodes/100 cc soil at pegging and harvest with pod yield (Table 6). Overall, ring nematodes at the time of pegging were somewhat positively correlated with aflatoxin contamination, while ring nematodes at harvest were somewhat negatively correlated with aflatoxin. Aflatoxin contamination was significantly lower in irrigated (0.1 ppb) compared to non-irrigated (14.8 ppb) experiments.
In the first run of the greenhouse test, the combination of ring nematode plus Aspergillus resulted in the greatest kernel aflatoxin concentration among treatments (Table 7). Detectable aflatoxin concentration associated with remaining treatments was not different from the water-only control. In the second run of the greenhouse experiment, all treatments had greater kernel aflatoxin contamination compared to the water-only treatment, albeit at low mean levels not exceeding 1 ng/g. Across the pooled data, peanut tubes inoculated with both Aspergillus and ring nematode were associated with a slightly increased mean aflatoxin concentration compared to either pathogen applied alone (Table 7).
Discussion
Many insecticides and fungicides are recommended for the preservation of peanut health and yield (Kemerait et al. 2020; Anco et al. 2024). Several pesticides with active ingredients such as 1,3 dichloropropene, fluopyram plus prothioconazole, fluopyram, and aldicarb have been labeled and recommended for nematode management in peanut (Anco et al. 2024). Most recommendations, however, are for nematodes as a general group and not specific to individual nematode species. In our experiments, many nematicides alone or in combination had little to no effect on recovered populations of ring nematode (M. ornatum). The presence of a slight positive correlation between ring nematode numbers and pod yield might possibly be related to a possibility of nematode induced systemic defense to other pests (Wondafrash et al. 2013; Arce et al. 2017;). However, further experimentation would be needed to support this possibility. The lack of an effect on yield due to a lack of population control of ring nematode is not surprising since only a few reports of yield loss by ring nematode have been published. However, since ring nematodes have a robust stylet and are found in high numbers in the peanut-growing regions of United States (Minton 1997), this was a relevant research effort to examine its potential contribution to secondary infection which would have implications for associated peanut quality.
There have been few studies on the effects of ring nematode on peanut (Machmer 1953; Minton and Bell 1969; Minton and Baujard 1990; Talton and Crow 2022). Our results suggest no negative effect of ring nematode populations at pegging or harvest on peanut yield (Machmer 1953; Minton and Bell 1969) at the levels and conditions encountered. The effects of the nematicides, fungicides and combinations of the two on levels of aflatoxin contamination varied greatly across the experiments. However, the NTC had low aflatoxin in almost all field experiments. Although there have been reports that some insecticides or fungicides can inhibit aflatoxin accumulation (Dorner 2004; Lagogianni and Tsitsigiannis 2018), other studies have reported that insecticides can increase toxin contamination (Buchanan et al. 1987; D’Mello et al. 1998). Theoretically, pesticides that help manage insect feeding, which could create an entryway for Aspergillus, and fungicides that kill or inhibit the fungus directly, can inhibit or reduce subsequent aflatoxin accumulation. The tested pesticides applied in this study near planting or pegging were ineffective overall in controlling aflatoxin levels at harvest, which was similarly concluded by D’Mello et al. (1998).
While in some cases phorate application was associated with increased aflatoxin contamination, this was not consistent across experiments, and individual treatments were likewise not consistently associated with increased aflatoxin contamination levels at harvest. This result is not surprising, since expecting a single application to provide effective protection for >100 days is no small task. Nevertheless, while reports of pesticide efficacy on ring nematode control in peanut itself are limited, our primary purpose in examining the selected pesticides was aimed at utilizing treatments to encourage the development of different levels of ring nematode soil populations, as commercial peanut cultivars with varying levels of resistance to ring nematode are not known to be available.
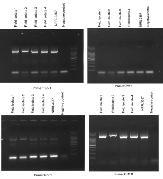
Aflatoxin is a critical mycotoxin that can cost the peanut industry up to 126 million USD annually (Lamb 2021). Aflatoxin production involves a battery of genes and mechanisms (Timper et al. 2004; Hamidou et al. 2013; Zhang et al. 2020). Root-knot nematode feeding and gall development was previously reported to contribute to increased aflatoxin production (Timper et al. 2004, 2013). Our results showed no relationship between ring nematode and aflatoxin under field conditions across two years. However, a small positive relation was found in the pooled data with regard to ring nematode soil populations at pegging, leading to further questions about their potential relationship. To address this, two A. flavus isolates were isolated from each field and analyzed for the presence of aflatoxin producing genes. The PCR and gel electrophoresis demonstrated two of the three aflatoxin producing genes as being present (Supplementary Figure 1), and the positive results from the inoculation of kernels confirmed the capability of the field isolates to produce high levels of aflatoxin. The average surface temperature in both fields during 2022 was 27 C, which is favorable for aflatoxin production. Fields in 2023 had a slightly lower average surface temperature (25 C) which is less conducive for aflatoxin (Cole et al. 1985; Kumar et al. 2021). Soil moisture is another important factor in aflatoxin production (Hill et al. 1983; Canavar and Kaynak 2013; Bowen and Hagan 2015). Drought stress in combination with higher temperatures has been reported to cause elevated aflatoxin levels (Hill et al. 1983; Bowen and Hagan 2015). The average volumetric soil moisture in both years was low at 15 to 17% ( https://etcman.shinyapps.io/EREC_Weather_App/) in the pod-forming zone which has been reported to be conducive to the production of increased aflatoxin levels (Hill et al. 1983). Additionally, reduced soil temperatures where pods were produced or inadequate colonization by Aspergillus spp. may have inhibited production of higher levels of aflatoxin. Furthermore, a study by Zhang et al. (2022) reported that fields containing sandy loam have lower percentages of toxigenic strains of Aspergillus spp. and lower aflatoxin production in comparison to clay loam soils. Soil pH (Zhang et al. 2022) and in-field density of Aspergillus inoculum might have also impacted the development of aflatoxin, but these were not determined.
From the mist chamber method of nematode extraction, only lesion nematodes were recovered from both root and pod tissues which was reasonable since sluggish ring nematodes cannot pass through the filter paper. Populations of lesion nematodes extracted from root or pod samples were negatively correlated with ring nematodes extracted from the soil at harvest (as seen in Tables 4 and 5) implying that there might have been some competition between species. In our experiments, most lesion nematodes were found on pods, fewer in roots and minimal populations found in the soil. This is reasonable given that lesion nematode is an endoparasite and spends most of its life inside the root or pod tissue. A considerable number of lesion nematodes were found in the peanut pods during 2023. However, the numbers were not related to the amount of aflatoxin contamination in field samples. Under field conditions, neither ring nor lesion nematodes were consistently associated with increased aflatoxin concentration. Although the combined data showed a weak positive correlation between ring nematode populations and aflatoxin levels, the inconsistency of results across experiments reduces the confidence of a potential relationship. There are very few studies concerning effects of nematode feeding on subsequent aflatoxin contamination. Timper et al. (2004) and Timper et al. (2013) are the only two papers until now we are aware of that have reported the effect of nematode feeding on aflatoxin contamination. Both explain the ability of root-knot nematode to increase aflatoxin contamination, and Timper et al. (2004) confirmed that pod galling can be responsible for higher aflatoxin contamination. In contrast, neither ring nor lesion nematode can make extensive galls, which might be one of the reasons increased densities of ring or lesion nematodes did not affect aflatoxin levels.
Although ring nematode numbers were predominantly not significantly different between treatments, they exhibited significantly different populations according to sampling times (i.e., when measured across three time points in 2023). The irrigated field (IRR23) had increased mean nematode numbers from pegging (5 ring nematodes/100 cc) through harvest (120 ring nematodes/100 cc). In the non-irrigated field (RAIN23), the ring nematode numbers increased from pegging (25 ring nematodes/100 cc) to active pod development period (85 ring nematodes/100 cc) and subsequently decreased by harvest (33 ring nematodes/100 cc). The average precipitation between the first and second nematode sampling times was 7.4 mm which was reduced to an average of 5.6 mm between second and third sampling time ( https://etcman.shinyapps.io/EREC_Weather_App/), which might have been one reason for ring nematode population reduction. This implies that soil moisture could be one of the probable factors for nematode fluctuation (Olatunji et al. 2019). However, Lehman (1978) also suggested that understanding a nematode species’ sensitivity to low moisture and the interaction of soil moisture with other factors is necessary before making recommendations based on soil moisture alone. Therefore, interpretation of the differences in later season ring nematode populations between the irrigated and non-irrigated fields from this study is tempered. The non-irrigated fields had significantly higher aflatoxin contamination compared to the irrigated fields. Arunyanark et al. (2009) reported similar results, where drought promoted the growth and persistence of A. flavus. Wotton and Strange (1987) also explained that irrigated peanuts show increased phytoalexin production which checks the colonization of A. flavus as well as aflatoxin production. Our experiment found no correlation between Aspergillus colonization in the shells and kernels and aflatoxin production (data not shown), implying that higher aflatoxin production is not strictly contingent on high A. flavus colonization. Similarly, Zhang et al. (2020) reported that the deletion of the gene (AflBck1), which is vital for fungal pathogenicity and colonization, produces more aflatoxin than when this gene was intact. Additionally, Pettit et al. (1971) reported no aflatoxin despite the higher infestation by Aspergillus in irrigated plots. Hence, aflatoxin production continues to remain an interwoven and multifaceted process.
Overall, results from the greenhouse experiment functionally corroborated results from our field experiments. Since it was difficult to control the soil moisture in the tubes, there might have been fluctuations in the phytoalexin levels that inhibit aflatoxin concentration. While phytoalexin was not measured in these experiments, this plausibly could have likewise contributed to the reduced aflatoxin levels seen overall in examined irrigated field experiments. This study provides new information on the lack of a relationship between ring nematode and aflatoxin contamination of peanut kernels. It was interesting to note the lack of a significant effect of the examined treatments on ring nematode numbers/100 cc soil at varying times during the growing season. While tested pesticides herein were ineffective at managing ring nematode numbers, it is encouraging to observe the lack of a corresponding detrimental effect of increased ring nematode populations and peanut pod yield or kernel aflatoxin contamination. If a significant relationship had been documented, it would warrant an increased need for further studies to be conducted on potential management options for ring nematode. Nevertheless, results reinforce the understanding of the overall minor role of ring nematode soil populations with respect to commercial peanut production.
Acknowledgements
Sincere thanks to Dr. Milan Panth for his help during DNA extraction and PCR of A. flavus samples. Many thanks to Justin Hiers and Kyle Kinard for technical assistance in establishing and maintaining plots. Support was provided by the South Carolina Peanut Board. Technical Contribution No. 7385 of the Clemson University Experiment Station. This material is based upon work supported by NIFA/USDA, under project number SC-1700592.
Literature Cited
[1] Anco D., Marshall M., Kirk K.R., Plumblee M.T., Smith N., Mickey S., Farmaha B., and Payero J. 2024. Peanut Money-Maker 2024 Production Guide. Circular 588. Clemson University Extension: Clemson, SC, USA.
Arce C.C.M., Machado R.A.R., Ribas N.S., Cristaldo P.F., Ataide L.M.S., Pallini A., Carmo F.M., Freitas L.G., and Lima E. 2017. Nematode root herbivory in tomato increases leaf defenses and reduces leaf miner oviposition and performance. J. Chem. Ecol. 43: 120-128.
Arunyanark A., Jogloy S., Wongkaew S., Akkasaeng C., Vorasoot N., Wright G.C., Rachaputi Rao. C.N., and Patanothai A. 2009. Association between aflatoxin contamination and drought tolerance traits in peanut. Field Crops Res. 114:14-22.
Atehnkeng J., Ojambo P.S., Ikotun T., Sikora R.A., Cotty P.J., and Bandyopadhyay R. 2008. Evaluation of atoxigenic isolates of A. flavus as potential biocontrol agents for aflatoxin in maize. Food Addit. Contam. 25:1264-1261.
Atkinson G.W. 1982. Some diseases of cotton. Ala. Agric. Exp. Stn. Bull. 41:1-65.
Barker K.R., Schmitt D.P., and Campos V.P. 1982. Response of peanut, corn, tobacco and soybean to Criconemella ornata. J. Nematol. 14:576-581.
Benjamini Y., and Hochberg Y. 1995. Controlling the false discovery rate: a practical and powerful approach to multiple testing. J. Royal. Statist. Soc. 57:289-300.
Bosswell T.E. 1968. Pathogenicity of Pratylenchus brachyurus to Spanish peanut. PhD. Dissertation, Texas A &M University. College Station, Texas.
Bowen K.L., and Hagan A. 2015. Temperature and moisture conditions that affect aflatoxin contamination of peanuts. Peanut Sci. 42:121-127.
Brooks M.E., Kristensen K., van Benthem K.J., Magnusson A., Berg C.W., Nielsen A., Skaug H.J., Maechler M., and Bolker B.M. 2017. glmmTMB balances speed and flexibility among packages for zero-inflated generalized linear mixed modeling. R J. 9:378-400.
Buchanan R.L., Jones S.B., and Stahl H.G. 1987. Effect of miconazole on growth and aflatoxin production by Aspergillus parasiticus. Mycopathologia. 100:135-144.
Butts C.L., Lamb M., Zimmer K., Santos R., Hoisington D., Adams J., Cowart D., Tillman B., Kemerait R., Marshall J., Jackson M., Davis J., Sterling S., and Elder J. 2023. U.S peanut quality: Industry priorities to mitigate aflatoxin risks from farm to consumer. Peanut Sci. 50:29-40.
Chamberlin K., Bennett R.S., Isleib T.G., Copeland S., and Dunne J.C. 2022. Registration of ‘Comrade’ peanut. J Plant Regist. 16:533-539.
Clayton C.N., and Ritchie D.F. 1981. Peach tree short life: A complex of interacting factors. Plant Dis. 65:462-469.
Cole R.J., Sanders T.H., Hill R.A., and Blankenship P.D. 1985. Mean geocarposphere temperatures that induce preharvest aflatoxin contamination of peanuts under drought stress. Mycopathologia. 91: 41–46.
Cooper W.E., and Brodie B.B. 1963. A comparison of Fusarium varieties with indices of cotton varieties with root-knot and sting nematodes as predisposing agents. Phytopathology. 53:1077-1080.
Cotty P.J., and Jaime-Garcia R. 2007. Influence of climate on aflatoxin producing fungi and aflatoxin contamination. Int. J. Food. Microbiol. 119:109-115.
Coulibaly O., Hell K., Bandyopadhyay B.R., Honkponou S., and Leslie J.S. 2008. Economic impact of aflatoxin contamination in sub-Saharan Africa. pp. 67-76 In Leslie J.F., Bandyopadhyay R., and Visconti A. (eds), Mycotoxins: Detection, Methods, Management, Public health and Agricultural Trade. CABI Publishing.
Davis E.L., and MacGuidwin A.E. 2000. Lesion nematode disease. Plant Health Instructor. Available at: https://www.apsnet.org/edcenter/pdlessons/Pages/LesionNematode.aspx.
Diomande M., and Beute M.K. 1981. Effects of Meloidogyne hapla and Macroposthonia ornata on the Cylindrocladium black rot of peanut. Phytopathology. 71:491-496.
Dickerson O.J., Blake J.H., and Lewis S. 2000. Nematode Guidelines for South Carolina. Clemson University Extension. EC 703. Available at: https://www.clemson.edu/public/regulatory/plant-problem/nematode.html. Accessed: June 22, 2025.
Dickson D.W. 1985. Nematode disease of peanut. Fla. Dept. Agric & Consumer Serv. Available at: https://ccmedia.fdacs.gov/content/download/10912/file/nem121.pdf 2024March9.
D’Mello J.P.F., McDonald A.M.C., Postal D., Dijksma W.T.P., Dujardin A., and Placinta C.M. 1998. Pesticide use and mycotoxin production in Fusarium and Aspergillus phytopathogens. Eur. J. Plant. Pathol. 104:741-751.
Dorner J.W. 2004. Combined effects of biological control formulations, cultivars and fungicides on pre-harvest colonization and aflatoxin contamination of peanuts by Aspergillus species. Peanut Sci. 31:79-86.
Fan J.J., and Chen J.H. 1999. Inhibition of aflatoxin-producing fungi by Welsh onion extracts. J. Food. Prot. 62:414-417.
Fassuliotis G., and Rao G.J. 1969. The relationship of Meloidogyne incognita acrita to the incidence of tomato yellows. J. Nematol. 1:219-221.
Grabau J.J., and Dickson D.W. 2024. Management of plant parasitic nematodes in Florida peanut production. UF/IFAS Extension. Available at: https://edis.ifas.ufl.edu/publication/IN1199.
Giri S., Mueller J.D., Ahmed S.M., Hiers J.B., Fogle B.B., Kirk K.R., Ye W., and Anco D.J. 2024. Survey of ring nematodes in South Carolina peanut fields. Crop, Forage and Turfgrass Manag. [: 10. e70000. doi: 10.1002/cft2.70000].
Gourama H., and Bullerman L.B. 1995. Aspergillus flavus and Aspergillus parasiticus: Aflatoxigenic fungi of concern in food and feeds: A review. J. Food. Prot. 58:1395-1404.
Hamidou F., Rathore A., Waliyar F., and Vadez V. 2013. Although drought intensity increases aflatoxin contamination drought tolerance does not lead to less aflatoxin contamination. Field Crops Res. 156:103-110.
Hill R.A., Blankenship P.D., Cole R.J., and Sanders T.H. 1983. Effect of soil moisture and temperature on pre-harvest invasion of peanuts by Aspergillus flavus group and subsequent aflatoxin development. Appl. Environ. Microbiol. 45:628-633.
Jaime-Garcia R., and Cotty P.J. 2004. Aspergillus flavus in soils and corncobs in south Texas: Implications for management of aflatoxins in corn-cotton rotations. Plant Dis. 12:1366-1371.
Jenkins W.R. 1964. A rapid centrifugal floatation technique for separating nematodes from soil. Plant Dis. Reptr. 489:962.
Kemerait B., Brenneman T., and Culbreath A. 2020. Peanut nematode control. Available at: https://extension.uga.edu/content/dam/extension/programs-and-services/integrated-pest-management/documents/handbooks/2020-pmh-chapters/Peanut.pdf 2024July8.
Kumar A., Pathak H., Bhadauria S., and Sudan J. 2021. Aflatoxin contamination in food and crops: causes, detection and management: A review. Food. Prod. Process and Nutr. 3:17.
Lagogianni C., and Tsitsigiannis D. 2018. Effective chemical management for prevention of aflatoxins in maize. Phytopathol. Mediterr. 57:186-197.
Lamb M.C., Sorensen R.B., and Butts C.L. 2021. Cost of aflatoxin to United States peanut industry (Lamb). APRES annual meeting presentation [Internet]. YouTube: APRES; [cited 2025May11]. Available from: https://www.youtube.com/watch?v=vrXQ91B00gY&t=23s&ab_channel=APRES.
Lehman P.S. 1978. The influence of low moisture on plant parasitic nematodes. Nematology Circular No. 46. Fla. Dept Agric and Consumer Services, Division of Plant Industry, Gainesville.
Machmer J.H. 1953. Criconemoides spp., a ring nematode associated with “peanut yellows”. Plant Dis. Reptr. 37:156.
Mehl H.L., and Langston D.B. 2024. Nematode Management in Field Crops. Virginia Cooperative extension. Available at: https://www.pubs.ext.vt.edu/content/dam/pubs_ext_vt_edu/spes/spes-15/SPES-531.pdf 2025June22.
Minton N.A. 1997. Nematodes of peanut: Ring nematodes. pp. 50-51 In Kokalis-Burelle N., Porter D.M., Rodriguez-Kabana R., Smith D.H., and Subrahmanyam P. (eds.), Compendium of Peanut Diseases. APS Press, St. Paul, MN, USA.
Minton N.A., and Baujard P. 1990. Chapter 8: Nematode parasites of peanut. pp. 285-320 In Luc M., Sikora R.A., and Bridge J. (eds.), Plant Parasitic Nematodes in Tropical and Subtropical Agriculture. CAB International.
Minton N.A., and Bell D.K. 1969. Criconemoides ornatus parasitic on peanuts. J. Nematol. 1:349-351.
Mixon A.C., and Rogers K.M. 1975. Factors affecting Aspergillus flavus Lk. ex Fr. colonization of resistant and susceptible genotypes of Arachis hypogaea L. Peanut Sci. 2:18-22.
Olatunji O.A., Gong S., Tariq A., Pan K. Sun X., Chen W., Zhang L., Dakhil M.A., Huang D., and Tan X. 2019. The effect of phosphorus addition, soil moisture, and plant type on soil nematode abundance and community composition. J. Soils Sediments. 19:1139-1150.
Pandey M.K., Kumar R., Pandey A.K., Soni P., Gangurde S.S., Sudini H.K., Chen X., Jiang H., Mendu V., Falalou H., Njoroge S., Mwololo J., Guo B., Zhuang W., Wang X., Liang X., and Varshney R.K. 2019. Mitigating aflatoxin contamination in groundnut through a combination of genetic resistance and post-harvest management practices. Toxins (Basel). 11:315.
Peper A., Wiley N., Liu A., Brenneman T., and Yang L. 2022. A note on the development of an in-tube growth system to study pod-specific responses of peanut (Arachis hypogaea). Peanut Sci. 49:56-60.
Pettit R.E., Taber R.A., Schroeder H.W., and Harrison A.L. 1971. Influence of fungicides and irrigation practice on aflatoxin in peanuts before digging. Appl. Microbiol. 22:629-634.
Core Team R. 2023. R: A language and environment for statistical computing, R Foundation for Statistical Computing: Vienna, Austria. Available online: https://www.R-project.org/ (accessed on 1 September 2024).
Saalia F.K., and Phillips R.D. 2011. Reduction of aflatoxin in peanut meal by extrusion cooking in presence of nucleophiles. LWT Food. Sci. Technol. 44:1.
Sanders T.H., Blankenship P.D., Cole R.J., and Hill R.A. 1984. Effect of soil temperature and drought on peanut pod and stem temperatures relative to Aspergillus flavus invasion and aflatoxin contamination. Mycopathologia. 86:51-54.
Sharma S.B., Siddiqi M.R., Van N.V., and Hong N.X. 1994. Plant parasitic nematodes associated with groundnut in North Vietnam. Intl. J. Nematol. 4:185-189.
Shurtleff M.C., and Averre II, C.W. 2000. Diagnosing Plant Diseases Caused by Nematodes. The American Phytopathological Society, St. Paul, MN.
Talton H., and Crow W.T. 2022. Featured creatures. Available at: https://entnemdept.ufl.edu/Creatures/NEMATODE/Ring_Nematode_Mesocriconema_xenoplax_Mesocriconem_ornatum.htm 2024March19.
Timper P., Wilson D.M., Holbrook C.C., and Maw B.W. 2004. Relationship between Meloidogyne arenaria and aflatoxin contamination in Peanut. J. Nematol. 36: 167-170.
Timper P., Wilson D.M., and Holbrook C.C. 2013. Contribution of root-knot nematodes to aflatoxin contamination in peanut (Arachis hypogaea). Peanut Sci. 40:31-39.
Wagner T.A., Duke S.E., Davie S.M., Magill C., and Liu J. 2022. Interaction of Fusarium wilt Race 4 with root-knot nematode increases disease severity in cotton. Plant Dis. 106: 2558-2562.
Wild C.P. 2007. Aflatoxin exposure in developing countries: the critical interface of agriculture and health. Food. Nutr. Bull. 28:S372-S380.
Wilson D.M., and Stansell J.R. 1983. Effect of Irrigation regimes on aflatoxin contamination of peanut pods. Peanut Sci. 10:54-56.
Wondafrash M., Dam N.M.V., and Tytgat T.O.G. 2013. Plant systemic induced responses mediate interactions between root parasitic nematodes and aboveground herbivorous insects. Front. Plant. Sci. 4:1-15.
Wotton H.R., and Strange R.N. 1987. Increased susceptibility and reduced phytoalexin accumulation in drought-stressed peanut kernels challenged with Aspergillus flavus. Appl. Environ. Microbiol. 53:270-273.
Yao S., Miyagusku-Cruzado G., Weat M., Nwosu V., Dowd E., and Fountain J. 2024. Non-destructive and rapid screening of aflatoxin-contaminated single peanut kernels using field-portable spectroscopy instruments (FT-IR and Raman). Foods. 13:1-13. doi: [: 10.3390/foods13010157].
Ye W., Robbins R.T., and Kirkpatrick T. 2019. Molecular characterization of root-knot nematodes (Meloidogyne spp.) from Arkansas, USA. Scientific Reports. 9, 15680. doi: [: 10.1038/s41598 019-52118-4].
Zhang F., Huang L., Deng J., Tan C., Geng L., Liao Y., and Yuan J. 2020. A cell wall integrity related MAP Kinase Kinase Kinase AflBck1 is required for growth and virulence in fungus Aspergillus flavus. Mol. Plant. Microbe. Interact. 33:680-692.
Zhang S., Wang X., Wang D., Chu Q., Zhang Q., Yue X., Zhu M., Dong Z., Li L., Jiang X., Yang Q., and Zhang Q. 2022. Discovery of relationship between distribution and aflatoxin production capacity of Aspergillus species and soil types in peanut planting areas. Toxins (Basel). 14:425.
Notes
- Graduate Student, Professor, Associate Professor, Post Doctoral Associate, and Associate Professor, respectively. Department of Plant and Environmental Sciences, Edisto Research and Education Center, Clemson University, Blackville, SC 29817. [^] Corresponding author’s E-mail: danco@clemson.edu














